Adrenoleukodystrophy
USD Adrenoleukodystrophy onwards
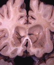
Adrenoleukodystrophy damages the membrane that insulates nerve cells in the brain. It is linked to X-chromosome and is thus a genetic (hereditary) condition

USD Adrenoleukodystrophy onwards