MEDICAL TRAVEL COST
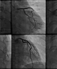
Coronary Angiography
USD 700 onwards
The total cost of the treatment depends on the diagnosis and facilities opted by the patient.
What is Coronary Angiogram?
A Coronary Angiogram is a minimally invasive procedure to access the coronary circulation and blood filled chambers of the heart using a catheter. It is performed for both diagnostic and interventional purposes.
How is the Procedure Performed?
Coronary Angiogram procedure involves the placement of a catheter in an artery in the groin or arm area and threaded through the blood vessels to the heart. The doctor uses the angiogram to check for blocked or narrowed blood vessels in the heart.
Who is the Right Doctor for Coronary Angiogram?
The right doctor to consult for Coronary Angiogram is a Cardiac Surgeon.
What is the Usual Success Rate for this Procedure?
The success rate varies between 68-72%.
Possible risks after Coronary Angiogram may include Stroke, Injury to the catheterized artery, Irregular heart rhythms, Allergic reactions to the dye or medications used during the procedure, Kidney damage, Excessive bleeding, etc.
Cost related to Coronary Angiogram in India
| Treatment name | Cost range |
|---|---|
| Coronary Angiogram | Rs.7770 to Rs.10360 |
| Coronary Angioplasty | Rs.177600 to Rs.236800 |
| Coronary Artery Surgery | Rs.222000 to Rs.296000 |
| PTCA-Percutaneous Transluminal | Rs.124320 to Rs.165760 |
